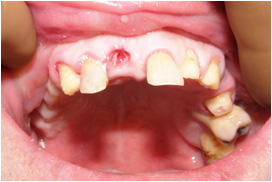
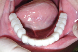
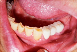
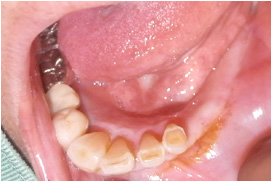
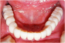
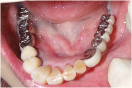
症例①before |
症例①after |
症例②before |
症例②after |
症例③before |
症例③after |
症例④before |
症例④after |
症例⑤before |
症例⑤after |
症例⑥before |
症例⑥after |
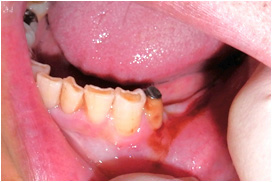
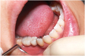
当院で行ったインプラント治療の一例をご紹介します。
症例①before |
症例①after |
症例②before |
症例②after |
症例③before |
症例③after |
症例④before |
症例④after |
症例⑤before |
症例⑤after |
症例⑥before |
症例⑥after |